Digital Scans
Say goodbye to goopy impression trays and hello to comfortable and convenient digital scanning! Creating your custom Invisalign trays has never been easier.

Wisdom Teeth Extractions in Pflugerville!
We provide wisdom teeth extractions and other emergency and general dentistry options for the Pflugerville community.

Wisdom Teeth Extractions in Pflugerville!
We provide wisdom teeth extractions and other emergency and general dentistry options for the Pflugerville community.
Take our quiz to find out if you may need your wisdom teeth removed!

ou may feel pain and sensitivity in one or more of your rear teeth, or notice inflammation of the gums near the wisdom teeth. This can indicate the beginning of a tooth infection. You may also begin to feel pain and stiffness in your jaw, which is a sure sign of a problem.
As a rule, it’s a good idea to contact a dentist in Pflugerville, like Dr. Chris Mun, if you feel any kind of pain or discomfort in your rear teeth. He can assess your mouth, examine your wisdom teeth, and determine if they need to be extracted.



Wisdom teeth are the third set of molars, and are a natural part of our mouths. However, they grow in much later than the rest of our teeth, usually between the ages of 17-25. Because of this, many people do not have enough space in their mouths for wisdom teeth, particularly if they have had orthodontic work. That means that the wisdom teeth can cause issues with your other teeth when they begin to erupt. They may cause your other teeth to shift and become misaligned, or they may become impacted and get infected. Wisdom teeth tend to cause discomfort, which is why most people choose to have them extracted when they begin to emerge.
1. Send a Photo
Use our intuitive app to take a clear photo of your smile. Once you get the shot you like, upload it so we can get started!
Explain what you'd like to change about your smile. It's your opportunity to tell us what's bugging you and how you'd like to improve it.
Dr. Kirkegaard will send you a personal video consult explaining possible treatments to give you the smile you've always wanted.
1. Send a Photo
Use our intuitive app to take a clear photo of your smile. Once you get the shot you like, upload it so we can get started!
Explain what you'd like to change about your smile. It's your opportunity to tell us what's bugging you and how you'd like to improve it.
Dr. Kirkegaard will send you a personal video consult explaining possible treatments to give you the smile you've always wanted.
Did You Know...
We offer a variety of sedation options to keep your procedure
pain-free and relaxing.
Did You Know...
We offer a variety of sedation options to keep your procedure
pain-free and relaxing.
May cause your other teeth to shift and become misaligned
May cause pain and discomfort
May become impacted or infected, impacted wisdom teeth are more prone to tooth decay, disease, and other dental problems

May cause your other teeth to shift and become misaligned
May cause pain and discomfort
May become impacted or infected, impacted wisdom teeth are more prone to tooth decay, disease, and other dental problems

Your treatment plan is created specifically for you and your needs. Dr. Mun will discuss all options and give you the final sign off so we can get your smile back on track in the way that makes you most comfortable.
Procedure
For fully-erupted wisdom teeth, the process is known as a basic extraction. Dr. Mun will clean and numb your mouth. Then, he’ll use special dental tools to loosen the tooth in its socket and pull it out. The process takes only about 5 minutes.
Once the tooth has been pulled, Dr. Mun will clean the area and suture the extraction site if necessary. Recovery is usually minimal. Your doctor will provide you with a comprehensive set of instructions to help your mouth heal as quickly as possible.
Whether you need one tooth extracted or several teeth removed in preparation for additional services, your treatment plan is created specifically for you and your needs. Your Rock Hill dentist will discuss all options and give you the final sign off so we can get your smile back on track in the way that makes you most comfortable.
Procedure Prep
After cleaning and sanitizing the site, your doctor will numb the area with local anesthesia. Depending on your case, you may only need local anesthesia for your extraction. The goal is to make you as comfortable as possible during treatment, so the doctor may choose to prescribe an anxiolytic medication prior to your procedure.
The extraction itself usually only takes a few minutes. Once the tooth has been pulled, your dentist will clean the area and suture the extraction site if necessary. Recovery is usually minimal. Your doctor will provide you with a comprehensive set of instructions to help your mouth heal as quickly as possible.
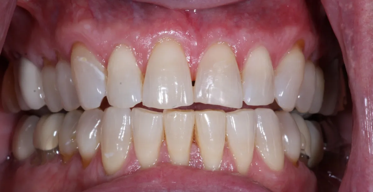
Did You Know...
Veneers can help protect your natural enamel.
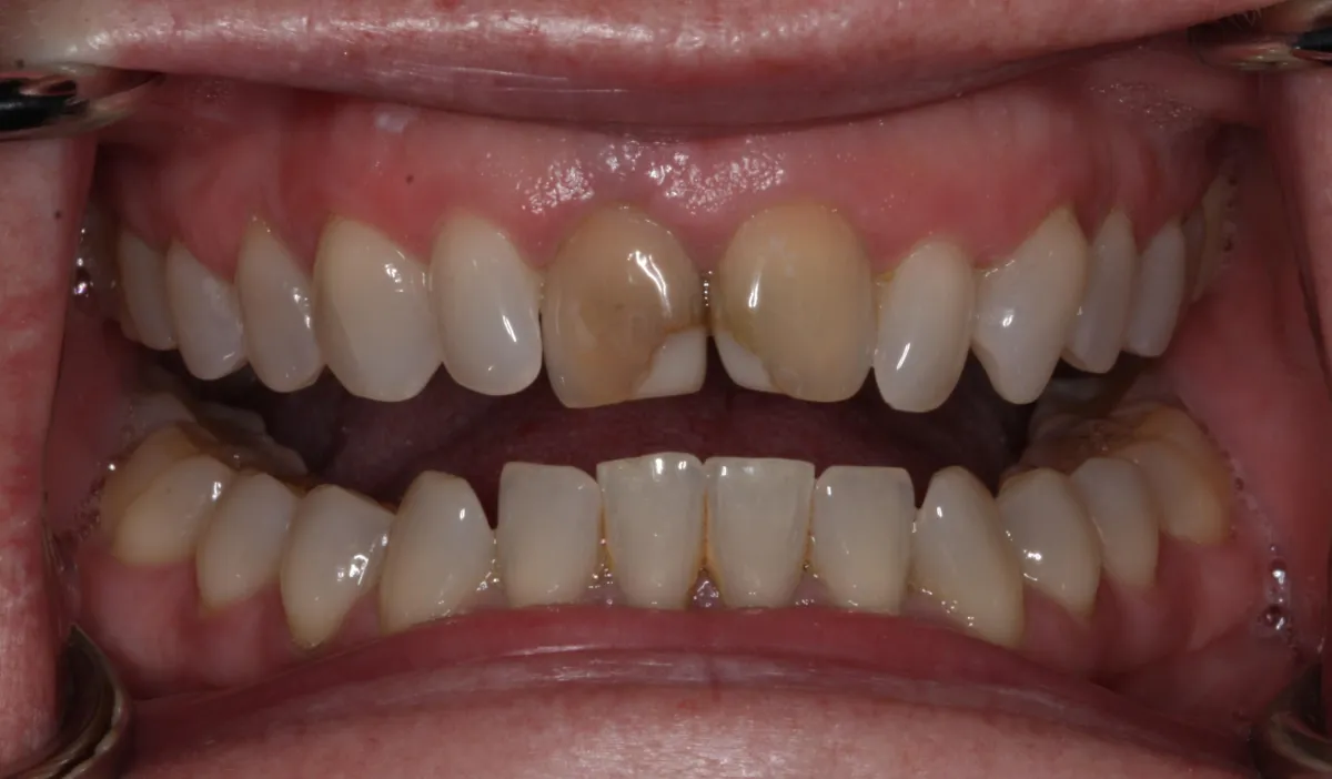
The process starts with an initial consultation with the doctor. Dr. Kirkegaard will examine your mouth, take scans or impressions of your teeth, and provide information about the procedure to determine if it's a good fit for you. If you move forward with treatment, you'll select the desired shape and color of your new smile.
Treatment Process
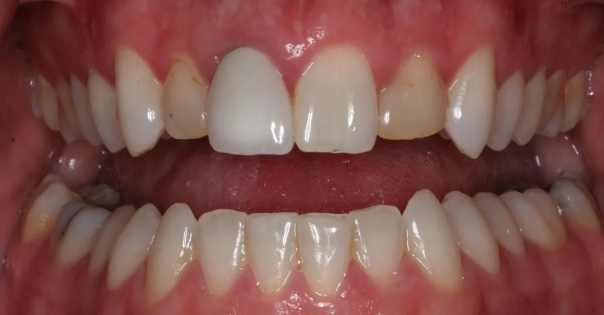
The treatment process begins with the removal of a very thin layer of enamel, to be replaced by the veneers. The process of manufacturing veneers can take 2-3 weeks, so you'll wear a set of temporary veneers in the meantime. At your next appointment, Dr. Kirkegaard will check the fit and shape of the veneers, and then bond them to your teeth.
At your next appointment, Dr. Kirkegaard will check the fit, shape, color, and style of your new veneers. If they fit perfectly, he will bond them into place with dental adhesive. You'll leave our office with a brand new, confident smile!
The process starts with an initial consultation with the doctor. Dr. Annese will examine your mouth, take scans or impressions of your teeth, and provide information about the procedure to determine if it's a good fit for you. If you move forward with treatment, you'll select the desired shape and color of your new smile.
Treatment Process
The treatment process begins with the removal of a very thin layer of enamel, to be replaced by the veneers. The process of manufacturing veneers can take 2-3 weeks, so you'll wear a set of temporary veneers in the meantime. At your next appointment, Dr. Annese will check the fit and shape of the veneers, and then bond them to your teeth.
At your next appointment, Dr. Annese will check the fit, shape, color, and style of your new veneers. If they fit perfectly, he will bond them into place with dental adhesive. You'll leave our office with a brand new, confident smile!












Ready to Schedule an Appointment?
Call Us Today!
My name is Chris Mun (like Fun but with an “M”). I am a father of 2 hilarious kids named Elia and Ilan (like Elon Musk but with an “I”). My life goals are to go viral on TikTok and to be on the Bachelor in Paradise- just kidding! I enjoy working out at the gym and going on nice long jogs, especially after I’ve gone weeks on end eating poorly and my clothes start fitting tight.
Seriously though, I love being part of the Pflugerville community, making a difference in people’s lives, and serving others in any possible way. My real goal in life is just to be able to say that I’ve had a positive influence in a person’s life. Thank yall and I look forward to seeing yall at the office, the store, or anywhere else out and about.

My name is Chris Mun (like Fun but with an “M”). I am a father of 2 hilarious kids named Elia and Ilan (like Elon Musk but with an “I”). My life goals are to go viral on TikTok and to be on the Bachelor in Paradise- just kidding! I enjoy working out at the gym and going on nice long jogs, especially after I’ve gone weeks on end eating poorly and my clothes start fitting tight.
Seriously though, I love being part of the Pflugerville community, making a difference in people’s lives, and serving others in any possible way. My real goal in life is just to be able to say that I’ve had a positive influence in a person’s life. Thank yall and I look forward to seeing yall at the office, the store, or anywhere else out and about.

Are Extractions Covered By Insurance?
Extractions that are required to remove impacted wisdom teeth, or damaged or decayed teeth, are typically covered by insurance. To fully understand your coverage and benefits, we recommend that you contact your insurance provider.
Will I Be In Pain After My Extraction And How Long Does It Take To Heal?
You won’t feel any pain or discomfort during or immediately after your extraction procedure. However, symptoms such as pain, discomfort, swelling, bruising, and bleeding may begin to arise within a few hours following your extraction. While these symptoms tend to peak within the first 2-3 days, they will begin to fade as you continue to heal. Make sure to eat a diet of mostly soft foods for about 5-7 days after your treatment to prevent impact and agitation. It is very important to take your medications as prescribed by your doctor which will minimize any of these symptoms.
It will take about 1-2 weeks to completely heal from the extraction. By carefully following the recovery instructions provided to you by your dentist, you can enhance the healing progress. It is not normal to endure severe pain and discomfort 1-2 weeks after your extraction, so contact your dentist for a follow-up appointment if you are experiencing these symptoms.
When Is Tooth Extraction Necessary?
Tooth extractions may be necessary for patients suffering from an extremely severe cavity, severe damage from oral trauma, or an infected tooth that cannot be saved with root canal therapy. In most cases, it is possible to save your tooth with a crown or root canal therapy, but sometimes an extraction may be your only option.
Improper wisdom teeth growth is one of the most common reason for tooth extractions. If your dentist sees that your wisdom teeth are impacted or failing to erupt properly, an extraction may be recommended to ensure that your other teeth remain healthy. Not everyone needs their wisdom teeth to be removed, however. Consult with your dentist to find out if your wisdom teeth are or will be a problem.
A tooth extraction may be required if severe gum disease is compromising the health of the tooth, causing it to loosen from the gums. Your dentist may want to extract these teeth to prepare you for a strong and long-lasting tooth replacement option, such as dental implants or dentures.

“Been seeing Dr. K for dental work for over a year now. It really is a different experience than any other dental office I've been to before. You never get that sense that you're just being rushed through a process. He does a great job taking the time to explain conditions and the science behind what he's doing which I appreciate.”

“Incredible experience! Dr. Kory is incredibly knowledgeable about the field and he uses the latest technology to make dreams a reality. After extensive dental work in the past, I still wasn't happy with my smile. I came to him for veneers, and he paired his top notch skills with all my suggestions to give me the smile I've always dreamed of having. Thanks Dr. Kory, this has been a home run experience!”

“Very happy with Dr. K and the entire staff. Place is state of the art and everyone is great. Dr. K actually called me to check on me after I had some work done! Twice. Who does that anymore? Couldn't be happier with The Art of Dentistry. If you are looking for a dentist give them a shot. You'll be very happy.”

“Been seeing Dr. K for dental work for over a year now. It really is a different experience than any other dental office I've been to before. You never get that sense that you're just being rushed through a process. He does a great job taking the time to explain conditions and the science behind what he's doing which I appreciate.”

“Incredible experience! Dr. Kory is incredibly knowledgeable about the field and he uses the latest technology to make dreams a reality. After extensive dental work in the past, I still wasn't happy with my smile. I came to him for veneers, and he paired his top notch skills with all my suggestions to give me the smile I've always dreamed of having. Thanks Dr. Kory, this has been a home run experience!”


"I simply cannot say enough about Dr. Annese and his entire staff. From routine cleanings to emergency dental work, they are consistently thorough, efficient, professional and compassionate. I’ve never been disappointed. I’m so glad to be in their care."

"I absolutely love Nashoba Valley Dental. I have been to many dentists in my life and they far exceed any place I have ever been. I recommend them to my friends, my family and anyone who needs a dentist. All the staff are friendly, understanding and compassionate with all my needs. I will not go anywhere else again."

Born and raised in Topeka, KS, Dr. Kirkegaard grew up obsessed with medicine, as his father was an ophthalmologist and the inspiration for Dr. K to pursue medicine as his career. After receiving his Bachelor of Arts in Biology with a Minor in Business from the University of Kansas, he headed to Chicago to complete his DMD at Midwestern University College of Dental Medicine. Unable to stay away from his beloved home state, he returned to Kansas and has since opened up his own practice, The Art of Dentistry, with the goal of bringing quality dental care to the community he loves.
When he’s not in the office, you’ll find him spending time with his wife, cat, and new baby girl. He enjoys biking and climbing, and, as a lifelong music and art lover, he paints, collects vinyl records and is currently learning to play the piano.


Dr. Matthew Annese was born here in Billerica, Massachusetts. Dr. Annese was awarded an academic Scholarship to attend Tulane University in New Orleans. After graduating Cum laude with dual majors in Neuroscience and Cell and Molecular Biology all the while helping the city rebuild after the devastation from Hurricane Katrina, Dr. Annese was admitted to the prestigious Henry M Goldman School of Dental Medicine at Boston University. Dr. Annese finished in the top 10% of his dental school class and was awarded the Compassion Care honor for his class. After graduating from Boston university, Dr Annese was awarded the MassPat scholarship which allowed him to work in Dorchester to provide excellent dental care to the underserved and those less fortunate to be able to afford the care they deserve. After a few years in Dorchester, and a few years in local private practices, Dr. Annese bought the dental office here in his hometown of Billerica. Dr Annese saw the town was missing a hometown premier dental office and really wanted to bring a different experience at a dental office home.
We work with financing providers to offer payment plans to cover either all or part of your veneers procedure. Payments as low as $105 a month available.

Up to 6 months of interest-free payments.

Longer-term options for lower payments (up to 120 months). Extend your loan to lower your monthly payments!
Meet
Dr. Blalock
Dr. Blalock grew up on a beef cattle farm in Crossville, TN. The time he spent working on the farm taught Dr. Blalock valuable problem-solving skills and a good work ethic. After Dr. Blalock suffered a dental injury when a cow’s hoof contacted his teeth, his dentist repaired his smile and sparked a fascination for the art of dentistry. Because of that experience, Dr. Blalock realized his calling was to become a dentist. He loves that dental work gives him the ability to work creatively with his hands while interacting with patients and making a positive impact on their lives.
Dr. Blalock graduated Summa Cum Laude from Tennessee Tech University with an undergraduate degree in health science biology. He went on to graduate with honors from the University of Kentucky College of Dentistry

Meet
Dr. Blalock
Dr. Blalock grew up on a beef cattle farm in Crossville, TN. The time he spent working on the farm taught Dr. Blalock valuable problem-solving skills and a good work ethic. After Dr. Blalock suffered a dental injury when a cow’s hoof contacted his teeth, his dentist repaired his smile and sparked a fascination for the art of dentistry. Because of that experience, Dr. Blalock realized his calling was to become a dentist. He loves that dental work gives him the ability to work creatively with his hands while interacting with patients and making a positive impact on their lives.
Dr. Blalock graduated Summa Cum Laude from Tennessee Tech University with an undergraduate degree in health science biology. He went on to graduate with honors from the University of Kentucky College of Dentistry
1. Send a Photo
2. Write Your Message
3. Get a Video Consult!
We designed our office with you in mind. When you arrive, relax with a warm towel. During your appointment, watch a show on one of our ceiling TVs. We have all the comforts of home to make you feel relaxed and at ease.
When you arrive for your first visit at Pflugerville Family Dentistry, our team will take the time to get to know you on a personal level– we care about more than just your smile! We’ll discuss your dental health goals, perform a comprehensive exam, and go over your diagnosis with compassion and respect.
Powered by Wonderist Agency, WonderFunnels | Privacy Policy
Powered by Wonderist Agency, WonderFunnels | Privacy Policy
Powered by Wonderist Agency, WonderFunnels | Privacy Policy